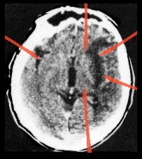
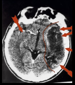
Der erste entdeckte „Hamersche Herd“

Bereits 1982 gelang es mir – also ein Jahr nach der Entdeckung der Germanischen Heilkunde (damals noch „Eiserne Regel des Krebs“) – schon prospektiv einen Hamerschen Herd (HH) riesigen Ausmaßes bei einem Patienten mit Revierkonflikt in der Heilungsphase und Herzinfarktgeschehen in der epileptoiden Krise zu finden.


Von da ab wusste ich, dass es keine Hirntumoren gab, sondern dass diese Phänomene alle im Zusammenhang mit der Lösungsphase eines biologischen Konfliktgeschehens stehen mussten.
Der Patient, zu dem diese Bilder gehören, war der allererste, bei dem ich prospektiv einen später sog. „Hamerschen Herd“ suchte und auch fand.
Der Patient betrieb einen kleinen Supermarkt mit einer gut gehenden Frischfleischabteilung. Für die ortsansässigen Metzger war dies ein Dorn im Auge.
Ein Konkurrent war darunter, der sich besonders gut mit dem Veterinäramtsarzt verstand der im Ort die Kontrollen durchführte.
Der Patient wurde nun laufend von diesem Veterinär schikaniert.
Das eskalierte schließlich soweit, dass er ihm ein Verfahren anzuhängen versuchte.
Als das nach langem hin und her nicht klappte, wurde der „von oben“ abgezogen und ein anderer übernahm diesen Bezirk für mehrere Jahre. Von nun an gab es keinen Ärger mehr.
Doch eines Tages, kurz vor Mittag, stand plötzlich dieser ehemalige Veterinärarzt in der Tür und ohne sich umzusehen schritt er sofort zur Fleischabteilung. Als er den Patienten sah, sagte er wörtlich: „Wie, Sie sind ja immer noch da!“
Im Verlauf der Kontrolle ging er mit dem Patienten nach draußen zum Kühlraum, dabei ließ er jedoch beim Rausgehen die Türe offenstehen.
Als beide zurückkamen hatte sich die Katze des Patienten in den Verkaufsraum hereingeschlichen.
Der Patient erstarrte vor Schreck. Der Veterinärarzt deutete nur wortlos auf die Katze und sagte: „Die Fleischabteilung ist geschlossen.“
Da geriet der Patient außer sich. Er rannte hoch in seine Wohnung, holte einen Fotoapparat (worin sich aber kein Film befand) und „beschoss“ regelrecht den Veterinär mit dem Blitzlicht.
Der Patient hatte in diesem Moment drei DHS erlitten:
einen Revier-Konflikt,
einen Revier-Ärger–
einen Revier-Angst-Konflikt.