Fall 1:  sexueller Missbrauch

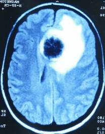
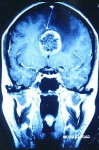
Diese Bilder sind ein erschütterndes Dokument einer 35jährigen linkshändigen Patientin, die vor 30 Jahren als 5-jähriges Kind von ihrem Vater sexuell missbraucht wurde. Sie wurde gezwungen, sein Glied in den Mund zu nehmen, wovor sie sich ekelte.

Sie erlitt als Linkshänderin einen Diabetes Sträubens-Konflikt,

(bei einer Rechtshänderin wäre es eine Unterzuckerung = Angst-Ekel-Konflikt mit Alphazell-Glukagon-Insuffizienz gewesen).

Bei ihr wurde der Diabetes nie bemerkt. Erst ganz zum Schluss, als kurz nach dem Tod des Vaters, den sie 5 Jahre als Bettlägerigen pflegen musste, die Lösung des Konfliktes einsetzte.

Bei der Diagnose des „Hirntumors“ wurde dann auch der Diabetes festgestellt, der aber jetzt rückläufig ist.

Der Konflikt war also 30 Jahre hängend aktiv – ein 30jähriges Martyrium für die Patientin!

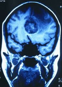
Für uns stellt diese zufällig gemachte Kernspintomographie einen wissenschaftlichen „Glücksfall“ dar, weil uns Kernspinaufnahmen, die nach solch langer Konfliktdauer in der gerade beginnenden Heilungsphase zufällig genau im „richtigen Moment“ gemacht worden sind, ein außergewöhnlich gut sichtbares Phänomen demonstrieren (mit Kontrast links, ohne rechts):

Wir sehen im Inneren des gerade in Lösung gehenden großen Hamerschen Herd (HH) noch die alten Schießscheibenringe, die nur noch kurz so gut zu sehen sind, weil sie dann im Oedem verschwimmen.

Normalerweise können wir mit dem Kernspin-Tomogramm Schießscheibenringe des HH erst nach 2 bis 3 Jahren Konfliktdauer erkennen. Und dann färben sie sich ja auch nicht mit Kontrastmittel an.

Hier aber hat der Radiologe zufällig den richtigen Tag erwischt und zufällig auch die richtige Aufnahmetechnik, mit Kontrastmittel.

Die Schießscheibenringe tauchen noch einmal wieder auf und färben sich in der pcl-Phase weiß an, um dann meist im Oedem zu verschwimmen.

Auf der rechten Aufnahme ohne Kontrastmittel ist praktisch kein Ring zu sehen.

 

Fall 2:  11-jährige RH-Tochter bekommt Diabetes

  • Diabetes (Sträubens-Konflikt)

Mit 11 Jahren passierte folgendes:
Lisa war bei ihrer Klassenkameradin zu Besuch und sie schauten ein Fernsehspiel an. Aber Lisa musste nach Hause, bevor das Fernsehspiel zu Ende war.

Sie sagte der Freundin, sie möchte es daheim noch zu Ende schauen und nahm die Kassette mit nach Hause. Die Freundin wusste also davon und erwartete sie am nächsten Morgen in der Schule zurück.

Kaum war Lisa zu Hause, rief die Mutter der Freundin an und sagte, Lisa habe das Fernsehspiel „gestohlen“.

Die Eltern verhörten Lisa, die beteuerte: die Freundin habe doch gewusst, dass sie es mit nach Hause nehme, um es zu Ende zu sehen. Sie wisse auch, dass sie es morgen in der Schule wiederbekomme.

Und obwohl sie noch nie gelogen hatte, glaubten die Eltern ihr nicht und erklärten sie zur Diebin. Die Mutter sagte: „Das hätte ich nie von Dir gedacht, dass du eine Diebin bist.“ Und der Vater sagte noch schlimmere Dinge.

Er zwang Lisa sogar, sich ins Auto zu setzen und fuhr mit ihr zum Elternhaus der Schulfreundin, wo die „Diebin“ das Fernsehspiel zurückbringen und sich entschuldigen sollte. So ließen sie es zu, dass Lisa von der zeternden Mutter der Freundin als Diebin bloßgestellt wurde, obgleich sie unschuldig war.

Von dem Tage an hatte Lisa Diabetes mit sehr hohen Glucosewerten im Blut, einen Konflikt des Sich-Sträubens  gegen die ihr widerfahrene Ungerechtigkeit und Demütigung. Sie wurde „schulmedizynisch“ mit Insulin behandelt.

3 Jahre lang kam niemand auf die Idee, dass der Diabetes mit diesem dramatischen Ereignis zu tun haben könnte.

Schließlich baten die Eltern mich um Rat, als Lisa 14 Jahre alt und „zuckerkrank“ geblieben war. Ich recherchierte die oben geschilderten Zusammenhänge und fand also heraus, dass der Sträubens-Konflikt gegen das Unrecht und die ungerechtfertigte Demütigung die Gründe für den Diabetes waren, und zwar in einem Telefonat mit Lisa selbst.

Nun wollten die Eltern natürlich wissen, was man denn machen könne.

Ich sagte: Zunächst muss mal klargestellt werden, dass nicht die Tochter ein Unrecht getan hat, sondern dass sie, die Eltern, Unrecht an ihrer Tochter Lisa getan haben. Also muss sich nicht die Tochter bei den Eltern entschuldigen, sondern die Eltern müssen sich in aller Form bei der Tochter entschuldigen, denn die Tochter hatte ja nicht gestohlen.

Die dumme oder verängstigte Freundin hatte ihrer zeternden Mutter ja verschwiegen (was sie später zugeben musste), dass sie sehr wohl davon gewusst hatte, dass Lisa sich das Fernsehspiel für die eine Nacht ausgeliehen hatte. Von Diebstahl konnte also gar keine Rede sein.

Ich sagte„Nur wenn Sie Ihre eigene Schuld und Ihr Unrecht einsehen, können wir weitermachen.“

Das sahen die Eltern dann auch ein und gaben es mit Bedauern zu.